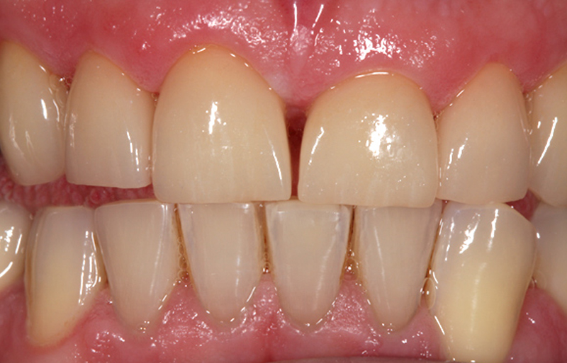
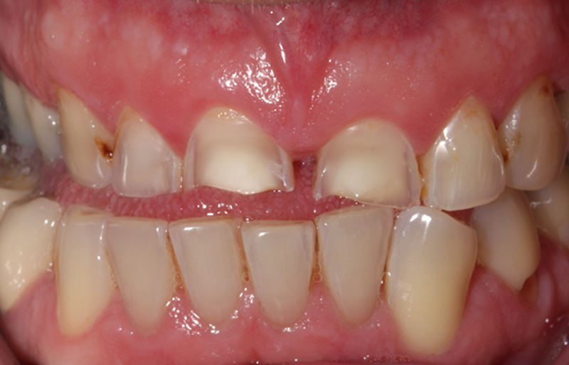
Patientenbeispiele aus der Praxis
Wir ergänzen ständig unsere Bildergalerie mit Behandlungsbeispielen. Gerade Beispiele aus der Zahnbehandlung mit Veneers und Keramikkronen oder -brücken im Frontzahnbereich können Ihnen helfen, sich zu entscheiden. In unserer Praxis erklären wir Ihnen gerne genau, wie die Behandlung funktioniert.
